
1、腔隙性脑梗塞是指脑部深穿动脉所致缺血性坏死灶。腔隙性脑梗塞约占中风的10%~30%。腔隙性脑梗塞是以病理诊断而命名的,是指直径在15~20毫米以下的新鲜或陈旧性脑深部小梗塞的总称。
2、而无论腔息性脑梗塞、间歇性脑梗塞、间隙性脑梗塞等都是民间叫法,科学统称其腔隙性脑梗塞,属于脑梗塞症型中症状最轻微,也是一种能够通过可靠用药、饮食调节、康复锻炼、控制血压血脂等综合性治疗措施达到彻底治愈的脑梗塞。
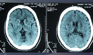
3、而多数腔隙性脑梗塞由于一般发病部位多,病灶面积小,所以又称为多发腔隙性脑梗塞。腔隙性脑梗塞的临床诊断一般是指直径在15—20毫米以下的新鲜或陈旧性脑深部小梗塞的总称。这些小动脉闭塞后,可引起多个大小不同的脑软化灶,最后形成大大小小的腔隙,它可通过头部CT确诊。常见3—10毫米的低密度区,小于2毫米的病灶CT不能显示。
4、腔隙性脑梗塞的可靠治疗药物同脑梗塞其他症型的治疗一样,都是应该包括合理具有针对性的中西药物。已知临床验证取得较好效果的有具有抗血小板聚集作用的拜阿司匹林,活血化瘀,芳香开窍降脂抗凝的道地中药。都是治愈腔隙性脑梗塞的临床必备药物,能够达到增效减毒从而全面治疗的作用,规避了拜阿的47%人群的用药抵抗,在起效快及长效优势强等方面都是同类药品中的首选。





