
概述
35岁时的牙龈萎缩通常与牙结石、牙周病以及未能养成良好的刷牙方式有关。
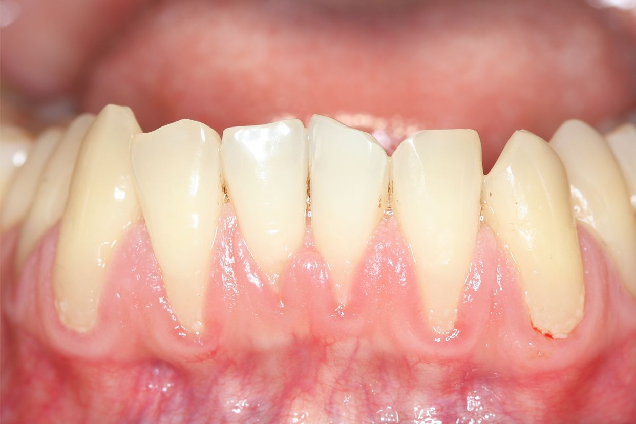
牙龈萎缩是指牙龈缘向釉牙骨质界的根方退缩而导致的牙根暴露,主要发生在牙齿靠唇颊面的牙龈。

病因
没有注意口腔的清洁,食物残渣留在牙齿根部,时间长了会逐渐形成牙结石。牙石会刺激牙龈,引起牙龈萎缩的症状。当牙根长时间受到炎症感染,或者牙菌斑细菌滋生后,会刺激牙齿周围的组织,也会引起牙龈萎缩的症状。使用的牙刷毛很硬,会刺激牙龈,导致牙龈萎缩。
治疗
牙结石和牙周病患者可以去正规医院进行超声波洗牙。同时,患者可遵医嘱使用甲硝唑来杀灭口腔内的厌氧菌,保护牙齿。
注意事项
建议使用软毛牙刷,并使用正确的刷牙方法。在日常生活中,应注意多吃新鲜蔬菜、水果,养成早晚刷牙的好习惯。
此文出于传递更多信息之目的,并不意味着赞同其观点或证实其描述。文章内容仅供参考,具体治疗及选购请咨询医生或相关专业人士。





