
拍片对于大多数人来说并不陌生,我们经常会在医院听到医生让病人拍片。其实在我们日常生活的理解中,广义的拍片包括有X光照片、CT、核磁共振(MRI)等。
肺癌拍片能查出来吗
临床上拍片对于肺癌的诊断是非常重要的,大多数的肺癌都能通过拍片的方式检查出来,它能够基本确定多数种类的肺癌,如果是一些拍片无法确定或者查出的肺癌,就需要通过其它检查才能确定。
拍片能检查出什么类型的肺癌
X胸片检查是诊断肺癌的最常用手段,往往用于检查中心型肺癌、周围型肺癌、孤立型细支气管肺泡癌、弥漫型细支气管肺泡癌等几种肺癌;CT检查可显示肺部0.2-0.3cm以上的小结节病灶,对肺癌的早期诊断有很大的价值。
什么样的肺癌拍片可以检查出来
并不是所有的肺癌都可以通过拍片检查出来,拍片检查肺癌主要有以下三种。
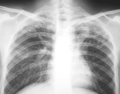
X光检查
X胸片检查不能查出所有的肺癌,如果是病灶位于支气管内或小于1cm,或病灶位于肺炎不、脊柱旁、心脏后等部位时,则往往不容易被胸部X线检查发现。
胸部CT检查
胸部CT检查通常用于痰癌细胞阳性检查,主要用于发现隐蔽在肺不张或实变肺组织内的肿瘤病灶。对心脏后、胸骨后、肺尖部、纵膈胖、后肋隔角等被认为是X线胸片盲区部位的病灶具有诊断价值;对主动脉胖、器官前、气管分叉部肿大淋巴结的诊断更有临床意义。
MRI检查
对于已经基本确定患有肺癌,需要更加明确肿瘤的类型和疾病的分期时可以用MRI检查,临床上往往用于帮助确定肺癌手术治疗的方案。
除了拍片还有什么方法检查肺癌
拍片对于检查肺癌是具有非常重要的临床意义,但是并不是所有的肺癌都只能通过拍片来确定。除了拍片外,检查肺癌的方式还有:体格检查、痰脱落细胞学检查、纤维支气管镜检查、支气管体层摄影检查、数字减影血管造影检查、经皮肺穿刺活检、放射性核素检查、腔内超声检查、转移病灶活组织检查等。





