
1、吞噬作用的启动依赖于吞噬细胞表面受体的激活,这些受体被配体激活后,产生一系列的级联反应,启动吞噬细胞膜结构的改变,进而完成吞噬作用。吞噬受体的配体多为细菌表面的糖分子,糖蛋白或者膜蛋白等等,荚膜的作用就是隐藏这些配体分子,干扰吞噬作用的进行。
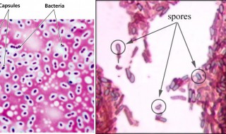
2、荚膜(capsule)荚膜:某些细菌表面的特殊结构,是位于细胞壁表面的一层松散的粘液物质,荚膜的成分因不同菌种而异,主要是由葡萄糖与葡萄糖醛酸组成的聚合物,也有含多肽与脂质的。
教育百科2022-05-08 04:53:23未知

1、吞噬作用的启动依赖于吞噬细胞表面受体的激活,这些受体被配体激活后,产生一系列的级联反应,启动吞噬细胞膜结构的改变,进而完成吞噬作用。吞噬受体的配体多为细菌表面的糖分子,糖蛋白或者膜蛋白等等,荚膜的作用就是隐藏这些配体分子,干扰吞噬作用的进行。
2、荚膜(capsule)荚膜:某些细菌表面的特殊结构,是位于细胞壁表面的一层松散的粘液物质,荚膜的成分因不同菌种而异,主要是由葡萄糖与葡萄糖醛酸组成的聚合物,也有含多肽与脂质的。
彭祖是什么人 彭祖介绍